Friendly & Affordable Family Dentistry

Children's Dentistry

Find out more
Dentist in York | Private Dental Practice | Blossom Dental Care

Family friendly dental practice in York

At Blossom Dental Care, we provide expert private dental care with a focus on experience, compassion, and patient comfort. Our welcoming practice ensures that every member of your family feels at ease, whether visiting for a consultation or treatment. We’re committed to delivering the highest standard of care—helping you achieve a healthy, confident smile.

Hello

Children’s Dentistry

At our York-based dental practice, we are dedicated to ensuring the next generation are given the highest level of oral health education, in order for them to keep their teeth & gums healthy.

General Dentistry

We offer a wide range of services in York including routine consultations, hygiene, teeth whitening, composite bonding, dental crowns, bridges & more.

Smile

Dental Hygiene

Our hygienists offer advice on brushing, interdental cleaning, diet and the prevention of gum disease and tooth decay.

“Excellent and professional care by all staff who are friendly, helpful, considerate and very kind. Full marks all round.”

Alison Easson – Google review

In The heart Of York

Our Clinic

Dentist in York | Private Dental Practice | Blossom Dental Care

6 Reasons To Choose Blossom Dental Care

  • Award winning practice

  • 5 star patient service

  • Approachable & friendly team

  • Membership plans to suit all

  • Finance options available

  • Great location & clinic

book your appointment today

Our Membership

Membership to our dental practice will help you spread the costs of your dental care and save you money. Our Dental Membership encourages regular attendance at our practice in York, enabling us to spot problems before they arise and results in helping you maintain healthy teeth and gums for life.

Finance Options Available

We firmly believe that great dental services should be available to everyone, and not be prohibitive by price. That’s why, at our Yorkshire Dental Practice, we offer finance to allow you to spread the cost of your dental treatment over a longer time period and make dental excellence achievable for all.

“An excellent Dental Practice! The receptionists are always friendly and efficient and Dr Sond, my Dentist has done some excellent work on my teeth. He always explains everything and is very caring. I would highly recommend this practice.”

Yvonne Bentley – Google Review

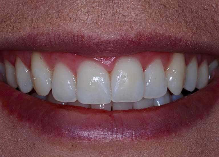
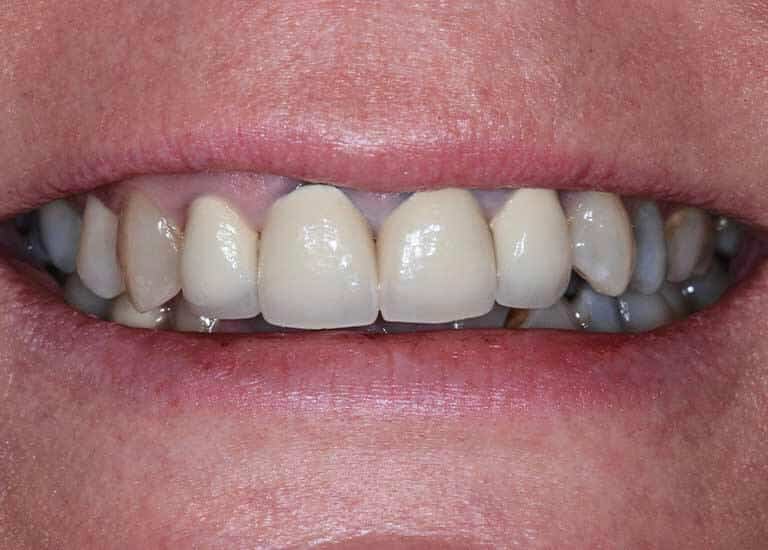
Before & After Gallery

Before Gallery Image | Blossom Family Dental Care
After Gallery Image | Blossom Family Dental Care

Invisalign

Before Gallery Image | Blossom Family Dental Care
After Gallery Image | Blossom Family Dental Care

Porcelain Veneers

Before Gallery Image | Blossom Family Dental Care
After Gallery Image | Blossom Family Dental Care

Veneers

Before Gallery Image | Blossom Family Dental Care
After Gallery Image | Blossom Family Dental Care

Invisalign

Before Gallery Image | Blossom Family Dental Care
After Gallery Image | Blossom Family Dental Care

Veneers

Before Gallery Image | Blossom Family Dental Care
After Gallery Image | Blossom Family Dental Care

Veneers

Before Gallery Image | Blossom Family Dental Care
After Gallery Image | Blossom Family Dental Care

Invisalign

Our Clinic

Welcome

Latest Blog Posts

Image of foods with vitamin D in them to promote healthy teeth

The Best Foods for Strong Teeth and a Healthy Smile

Blossom Dental Care's Guide: Essential Do's and Don'ts for Invisalign Aligner Maintenance

5 Signs You Need to See a Dentist Sooner Than You Think